Body Basics
Conditions Hub
Food & Fitness
Life Stages
Mind Matters
Treatment Options
Home
»
Health Library
»
Conditions Hub
Conditions Hub
All
Life Stages
Mind Matters
Treatment Options
Food & Fitness
Conditions Hub
Body Basics
Sjögren-Larsson Syndrome: Guide To Symptoms & Treatment
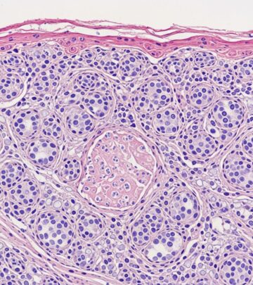
Pseudoxanthoma Elasticum Pathology: What You Need To Know
Multicentric Reticulohistiocytosis: Guide To Symptoms & Treatment
Legius Syndrome: Comprehensive Guide to Diagnosis and Treatment
Lax Beetle Images and Blister Dermatitis
IgG4-Related Skin Disease: 3 Key Diagnostic Criteria
Genital Herpes: Essential Guide To Causes, Symptoms, Treatment
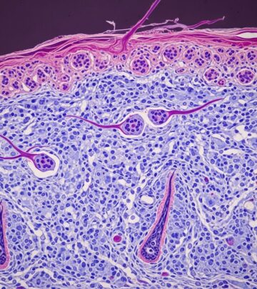
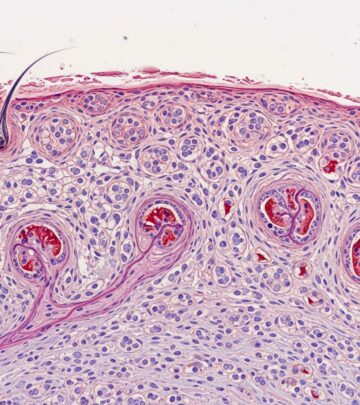
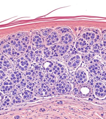
Fibrofolliculomas in Birt-Hogg-Dubé Syndrome Images
Eosinophilic Fasciitis Pathology: Key Diagnostic Insights
Contact Allergy To Octyl Glucoside: Diagnosis, Risks, Management
Alpha-1-Antitrypsin Deficiency Panniculitis
Acne Agminata: Complete Guide to Diagnosis & Treatment
Gout: Symptoms, Treatment, Diet, And Prevention Guide
Neonatal Diabetes: 3 Types, Causes, And Treatment Options
Medical Conditions That Increase Skin Cancer Risk: What To Know
Building Your Skin Cancer Team: Essential Roles For Better Care
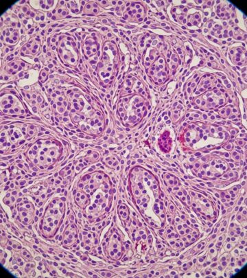
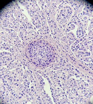
Trichoblastic Carcinoma: Rare Hair Follicle Malignancy
Schnitzler Syndrome: Guide To Symptoms, Diagnosis And Treatment
Seborrhoeic Keratosis Dermoscopy Images: 7 Diagnostic Photos
Peristomal Intestinal Metaplasia: Diagnosis And Treatment
Papular Mucinosis Pathology: Essential Guide To Diagnosis
Leiomyosarcoma Pathology: Histology, Diagnosis, and Clinical Features
HIDS: 7 Key Facts For Diagnosis & Treatment
Graft-Versus-Host Disease Pathology: Essential Histology Guide
Differential Diagnosis Of Leg Ulcer: Essential Clinical Guide
Barrier Function In Atopic Dermatitis: What You Need To Know
Buschke-Ollendorff Syndrome: Key Facts On Symptoms & Diagnosis
Dermatoscopic-Histologic Correlation in Skin Lesion Diagnosis
Connective Tissue Diseases: What You Need To Know
Diabetes And Endurance Sports: 4 Key Challenges And Solutions
Celiac Disease: Guide To Symptoms, Diagnosis, And Treatment
Type 3c Diabetes: Ultimate Guide To Symptoms, Causes, Treatment
VEXAS Syndrome: Comprehensive Guide To Diagnosis And Treatment
Radiation Dermatitis Pathology: 4 Essential Histologic Findings
Splenosis Pathology: A Comprehensive Guide For Clinicians
Pitted Keratolysis Pathology: Understanding the Infection
Primary Cutaneous Anaplastic Large Cell Lymphoma
Plasmapheresis For Skin Disease: 6 Key Indications & Outcomes
Phaeohyphomycosis Pathology: Comprehensive Diagnostic Guide
Perniosis Pathology: Comprehensive Guide
Estrogen Hypersensitivity Vulvitis: 11 Case Insights
Noonan Syndrome: Comprehensive Guide To Diagnosis & Management
Keratoelastoidosis Marginalis: Clinical And Histology Guide
Bazex-Dupré-Christol Syndrome: Genetics, Symptoms & Treatment
Adenoid Cystic Carcinoma Pathology: A Comprehensive Guide
Allergy To Ecamsule: What You Need To Know
Tinea Capitis Pathology: Essential Clinical Guide
Superoxidised Solution: Uses, Evidence, And Clinical Benefits
Skin Problems Associated with Thyroid Disease
Pseudoepitheliomatous Keratotic and Micaceous Balanitis Pathology
Radiographic Investigations In Melanoma: Essential Imaging Guide
Orofaciodigital Syndrome Type 1: Features and Management
Neurocristic Hamartoma: Pathology, Diagnosis, Malignant Risk
Occupational Dermatitis Among Construction Workers
Maculopapular Cutaneous Mastocytosis Pathology
Lymphomatoid Papulosis Pathology: 6 Key Histological Subtypes
Connective Tissue Diseases Guide To Types, Causes & Treatment
Melanoma: Clinical Assessment and Diagnosis
Risk Factors for Melanoma and Keratinocytic Cancers
Acne: A Complete Guide To Causes, Symptoms, And Treatment
Premenstrual Syndrome Guide: Symptoms, Causes & Relief Tips
Alström Syndrome: What You Need To Know For Diagnosis & Care
Paracoccidioidomycosis Pathology: Comprehensive Diagnosis Guide
Undefined Necrobiosis Lipoidica Pathology: Histology Guide
Madarosis Images: 17 Clinical Cases For Accurate Diagnosis
Keratosis Circumscripta: Diagnosis, Treatment And Patient Guide
Cutaneous Plasmacytosis Pathology: Key Insights Into Diagnosis
Costello Syndrome: Signs, Diagnosis, Cancer Risk, Treatment
EGPA Pathology: Histopathology of Eosinophilic Granulomatosis
Brunsting-Perry Cicatricial Pemphigoid Pathology
Herpes Simplex: Symptoms, Transmission And Treatment Guide
Irritable Bowel Syndrome: Essential Guide To Management
Gardner-Diamond Syndrome: Symptoms, Diagnosis, Management
Wells Syndrome Pathology: Understanding Eosinophilic Infiltration
X-Linked Hyper-IgM Syndrome: What You Need To Know
Sexually Transmitted Infections: Prevention & Treatment Guide
Necrotising Fasciitis Images: 6 Photos To Spot Early Signs
Oral Psoriasis: Essential Guide To Symptoms & Treatments
Lipoma Pathology: Histological Features and Clinical Diagnosis
Hermansky-Pudlak Syndrome: 11 Subtypes, Treatment Essentials
Genetic Testing For Melanoma: Who To Test And Key Steps
Crouzon Syndrome: Guide to Causes, Symptoms & Treatment
Autoimmune Polyglandular Syndrome Type 2
Psoriasis Complete Guide: Causes, Triggers, Symptoms & Treatment
X-Linked Agammaglobulinemia: Comprehensive Guide For 2025
Trigeminal Trophic Syndrome: Causes, Symptoms, Treatment
Psychological Effects Of Acne: A Comprehensive Guide
NOMID/CINCA Syndrome: Key Symptoms, Diagnosis & Treatments
Orofacial Granulomatosis: Pathology, Diagnosis, Treatment
Multinucleate Cell Angiohistiocytoma Pathology
Metastatic Crohn’s Disease Pathology: Diagnosis And Treatment
Leukemia Cutis: Key Insights Into Diagnosis & Treatment
Erythema Elevatum Diutinum Pathology: 3 Histological Stages
Cytophagic Histiocytic Panniculitis: A Clinical Guide
Antiphospholipid Syndrome: A Guide To Diagnosis And Management
Airborne Contact Dermatitis: 5 Types And Top Treatments